Caring for Those Who Cared for Us

Early Alzheimer's diagnostics: p-tau, APOE blood tests, retinal/nasal/LBD CSF/brain age, eye-tracking/gait/vision/PET apps and primary-care screening [developing]

Early Alzheimer's diagnostics: p-tau, APOE blood tests, retinal/nasal/LBD CSF/brain age, eye-tracking/gait/vision/PET apps and primary-care screening [developing]

Key Questions

What is the accuracy of FDA-approved Lumipulse pTau217 test?

The Lumipulse pTau217 test has 90% accuracy and AUC 0.93, acting as a virtual PET for MCI and early AD, detectable 20 years pre-symptomatically. It is from Spear/Roche and exploding in use. WashU uses it as a pTau217 clock.

What does VeraBIND tau seeding test show?

VeraBIND detects tau seeding with 94/96% accuracy. It supports early Alzheimer's diagnostics. The test is part of advancing biomarker tools.

How accurate is the ApoE ε4 blood test?

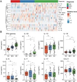
The ApoE ε4 blood test achieves 99.6% accuracy. It ties into risk assessment for AD. IFN-γ inflammation is high in AD/MCI with APOEε4.

What is UEA's gut-brain blood metabolites AI for MCI?

UEA's AI uses gut-brain blood metabolites for 79% MCI detection. It links gut health to brain changes. This is part of early diagnostic innovations.

What did Miller School find on APOE4 and ancestry?

Miller School at AD/PD Copenhagen found APOE4 toxic, but African ancestry haplotype cuts 75% AD risk in E4 homozygotes; ABCA7 ceramides involved. It highlights genetic disparities. Studies address Black/Hispanic tau disparities.

What is Lund's ProtAIDe-Dx AI accuracy?

Lund's ProtAIDe-Dx AI detects AD with 81-95% accuracy. It uses proteomic approaches. Part of broader diagnostic advancements.

How does midlife vitamin D affect tau?

ARIC/Galway studies show VitD >30ng/mL in midlife drops tau 16 years later. Higher levels protect against tau deposits. Midlife levels shape brain health decades on.

What non-memory signs indicate early dementia?

Non-memory signs include risky behavior, social/vision/personality changes. A psychiatrist lists six personality changes as warnings. Three early signs unrelated to memory are highlighted.

FDA Lumipulse pTau217 exploding (90% acc/AUC0.93 virtual PET MCI/early AD, 20yr pre-symp); Spear/Roche; WashU pTau217 clock; VeraBIND tau seeding 94/96%; ApoE ϵ4 99.6%; IFN-γ inflammation high AD/MCI APOEε4 tie; UEA gut-brain blood metabolites 79% MCI AI; Miller School AD/PD Copenhagen: APOE4 toxic, African ancestry haplotype cuts 75% AD risk in E4 homozygotes, ABCA7 ceramides; Lund ProtAIDe-Dx AI 81-95%; HABS-HD tau early memory areas Black/Hispanic sans amyloid disparities; DAC Global South equity; retinal OCT/OCTA AD vs VD; low-field MRI global access; speech/language AI dx; OSU real-time chem AD damage; ARIC/Galway VitD>30ng/mL midlife tau drop 16yrs; Sen. Klobuchar AADAPT Act virtual PCP training; Broadlawns IA mobile clinic FDA blood tests/nav; Tau Global Conf May14-15; CA SB950; Alz Assoc screening; non-memory signs risky/social/vision/personality changes; tau-sleep cycle.

Sources (68)
Updated Apr 8, 2026
What is the accuracy of FDA-approved Lumipulse pTau217 test? - Caring for Those Who Cared for Us | NBot | nbot.ai